你有没有想过,在这个信息爆炸的时代,一部好电影或者一部热门剧集,竟然可以随时随地通过手机就能观看?没错,今天我要给你介绍的就是这...
你有没有发现,最近网上有个东西特别火,那就是“javhd视频”!是不是好奇这是什么?又或者是已经跃跃欲试想要一探究竟?那就跟着我...
最近网上可是炸开了锅,大家都在热议一个话题——云霄吃瓜最新事件爆料视频。这可是娱乐圈的大事件啊,咱们得好好来聊聊,看看这瓜到底有...
娱乐圈吃瓜仔是谁?亲爱的读者们,你是否也曾在深夜刷微博,看着那些明星的八卦新闻,忍不住嘴角上扬?你是否也曾在朋友圈里转发那些劲爆...
你有没有发现,娱乐圈就像一个大染缸,每天都有新鲜事冒出来,让人应接不暇。而在这个信息爆炸的时代,想要紧跟娱乐圈的步伐,不花点时间...
亲爱的读者们,你是否曾在某个悠闲的午后,想要找一部好电影来放松一下心情?又或者,在忙碌的工作间隙,渴望来一场说看就看的电影之旅?...
你喜欢吃娱乐圈的瓜吗?娱乐圈,这个光鲜亮丽的舞台,总是充满了各种八卦和新闻。每当有明星的动态,无论是恋情、分手、出轨还是新作品,...
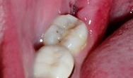
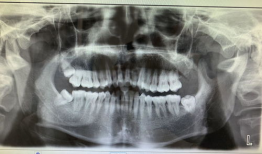
你知道吗?拔智齿这个话题,最近在网络上可是火得一塌糊涂呢!很多人都在好奇,拔智齿到底是个啥样的过程,是不是像传说中的那么恐怖?今...
长治91招聘直播:一场别开生面的网络招聘盛宴亲爱的读者们,你是否曾为找工作而烦恼?是否渴望找到一个既能发挥自己才华,又能实现人生...
最近公园里可是热闹非凡呢!听说有人在那里大吃特吃瓜,还引发了一阵不小的风波。这不,我就迫不及待地要去一探究竟,看看这瓜是怎么吃出...